More Than 112 Years of Dedicated Service to Mankind
BIOCHEMISTRY
INTRODUCTION | TRAINING | RESEARCH | TESTING FACILITIES | PUBLICATIONS | TEAM

1. Effect of Snake Venom on Human Cells

Team: Dr. Amruta Naik
Collaborator: Dr. Usha Padmanabhan
Funding Agency: Haffkine Institute & BITP
Duration: 3 years
Budget: 7,00,000/-
Status: Ongoing

Snake venoms have evolved a wide diversity of peptides and proteins that induce harmful inflammatory and neurotoxic effects including severe pain and paralysis, hemotoxic effects, such as hemorrhage and coagulopathy, and cytotoxic/ myotoxic effects, such as inflammation and necrosis. Although sufficient in most cases, snakebite treatments have been challenged by the continuous high numbers of clinical illness and mortality associated with snakebites worldwide. Chronic morbidity following snakebites have been underestimated, with many victims reporting chronic symptoms in the bitten region, including complex regional pain syndrome and musculoskeletal disabilities. Available snakebite treatments face challenges associated with high incidences of adverse reactions along with poor efficacy against local tissue effects. Therefore, there is a need of more research work directed to the development of more effective snakebite therapies which will enable to overcome severe acute and chronic effects caused by snakebites. Understanding the cellular mechanisms of how the venom act especially at the bite site will help to identify ways to prevent sever complications of the snake bites e.g. tissue destruction. Therefore, this study focus on the determination of events that underlie cellular exposure will help to identify pathways perturbed by crude venom explain some of the pathological effects observed in local envenomation. Data obtained from this study may serve as the basis for diverse translational research for the utilization of snake venom in the therapeutics.

2. Estimation of Anti-diabetic Potential of Ayurvedic Formulation

Team: Dr. Amruta Naik
Collaborator: Dr. Aditi Kulkarni, Poddar medical college, Mumbai
Funding Agency: Under submission to external funding agency
Duration: 3 years
Budget: 8,00,000/-
Status: Ongoing

Type 2 diabetes (T2D), which is much more common, is primarily a problem of progressively impaired glucose regulation due to a combination of dysfunctional pancreatic beta cells and insulin resistance. Diabetic nephropathy is reported to be responsible for 25% of mortality in diabetes mellitus as it is a major sequel of diabetes mellitus, leading to end stage renal disease. Identification and assessment of therapeutic potential of natural compounds have been led to the discovery of innovative and economical drugs to treat several diseases, including diabetes. Suvarna Raj Vangeshwar is an Ayurvedic metallic formulation prepared using Kupipakwa rasayana method. In clinical practice, it is used by Ayurvedic practitioners in conditions Prameh or Meha which is correlated with diabetes mellitus. In vitro cell based assay is an appropriate and inexpensive method for understanding of anti-diabetic action of compound. Various medicinal plants has been explored so far with respect to their anti-hyperglycemic activity but very less work has been done so far on the herbometalic preparations with respect to anti diabetic potential. Hence, in this proposed study the anti-hyperglycemic effect of the Suvarna Raj Vangeshwar will be monitored to understand it's mode of action.

3. Assessment of bioavailable iron from herbometalic preparations

Team: Dr. Amruta Naik
Collaborator: Dr. Aditi Kulkarni, Poddar medical college, Mumbai
Funding Agency: HITRT and Poddar Collage
Duration: 1 year
Budget: 75,000/-
Status: Ongoing

Anaemia is one of the major abnormalities found in India, irrespective of age and gender. In Ayurveda, it has been mentioned that the herbometalic preparations are helpful in the treatment of the anaemic conditions. The bioavailability of the iron from these ayurvedic drugs is yet not estimated and hence in this study the actual uptake of the iron from these formulations will be studied using a cell line model.

4. Effect of the Cobra Venom on active caspase-3 expression in neuronal cells

Team: Dr. Amruta Naik, Dr. Usha Padmanabhan, Intern
Funding Agency: Haffkine Institute
Duration: 6 months
Budget: 25,000/-
Status: Ongoing

Snake envenomation is a significant global health concern, notably for its profound effects on human health worldwide. India experiences a notable incidence of cobra venom bites, ranking among the highest globally. India faces a significant number of snakebite cases, reporting over 1,000,000 incidents annually, which tragically lead to 58,000 deaths, including those specifically attributed to cobra. Cobra venom induces neurotoxicity primarily through the action of alpha-neurotoxins present in the venom. This neurotoxic effect is a significant contributor to the morbidity and mortality associated with cobra envenomation. Cobra venom primarily disrupts neuromuscular transmission leading to acute neuromuscular weakness, including respiratory involvement, which is a prominent feature of snake envenomations. Cobra venom induces apoptosis leading to morphological alterations indicative of programmed cell death. The activation of the Caspase-3 pathway can be triggered by various cellular signals, including responses to cellular stress and external stimuli, ultimately leading to cell death. This insight into apoptotic pathways enhances our understanding of venom-induced cellular responses and contributes to the development of target specific interventions in snakebite management. In this study the primary focus is to assess the effect of the cobra venom on the neuronal toxicity by quantifying active caspase-3 levels through the technique of ELISA.

5. Characterizing the effects of estrogen and progesterone on HCT116 colorectal cancer cells

Team: Dr. Amruta Naik, Dr. Usha Padmanabhan, Intern
Funding Agency: Haffkine Institute, S.T.R.I.P.
Duration: 6 months
Budget: 25,000/-
Status: Completed

Estrogen and progesterone are steroid hormones that play a significant role in the proliferation of cells through estrogen receptor (ER) and progesterone receptor (PR), respectively. In this study, the colorectal cancer cell line HCT116 is used to investigate the effect of hormones β-estradiol and progesterone on the cells by performing an MTT assay to check the cell viability of the cells after the treatment of hormones in the concentration range of 10 M-1fM after 24, 48, and 72 hours. The results indicate that the cell viability of HCT116 cells after treatment with the hormones was decreased at varying concentrations. Further, a cell growth assay was performed to analyse the cell growth inhibition at concentrations of 10 M, 100pM, and 1fM of β-estradiol and progesterone, showing inhibition of growth compared to the control. Furthermore, RT-PCR was conducted to assess the presence of estrogen receptor β and progesterone receptor on HCT116 cells, which resulted in the presence of ER-β and absence of PR on HCT116 cells by running several runs of RT-PCR gel to assess the expression of both the receptors on HCT116 cells.

6. IgG and B cells isolation from rabbits injected with cobra venom

Team: Dr. Usha Padmanabhan*, Dr. Amruta Naik, Mr. Sameer Patil and Mr. Pravin Shirsat
(* from the Dept. of Cell Biology)
Funding Agency: Haffkine Institute
Duration: 3 years
Budget: 20,00,000/-
Status: Ongoing

Snakebite envenoming is recognized as a high-priority neglected tropical disease (NTDs) by the World Health Organization that predominantly affects rural communities living in low and middle income countries in Asia, Latin America, and Africa (Attarde et al., 2022). More than 5.8 billion people globally are at risk of snakebite envenoming, which kills between 81,000 and 138,000 people per year. In the South East Asia Region - a biodiversity hotspot for venomous snakes, and home to some of the world's most densely packed populations, snakebite envenoming is a major public health problem, killing tens of thousands of people every year and causing a range of physical and mental disabilities, including blindness, amputation, and post-traumatic stress disorder (WHO, 2022).

In India, out of the 60 described snake species that cause clinically significant envenomation in humans, 14 species have been noted to cause human mortalities (WHO, 2016). The centerpiece in the therapy of snakebite envenomings is the timely administration of safe and effective antivenoms, which are preparations of IgGs or IgG fragments prepared from the plasma of horses or other animals immunized with venoms of one snake species (monospecific antivenoms) or several species (polyspecific antivenoms) (Gutiérrez et al., 2020). Nevertheless, existing antivenoms — the only available specific treatment for snakebite — are produced exclusively against the ‘big four' snakes: the spectacled cobra (Naja naja), common krait (Bungarus caeruleus), Russell's viper (Daboia russeli) and saw-scaled viper (Echis carinatus). Despite the availability of polyvalent antivenom, snakebite continues to be a severe burden on the rural agrarian communities in India, resulting in an annual toll greater than that of any other country (Mahopatra et al., 2011).

In many cases of snakebite envenoming, it is often difficult for clinicians treating patients to determine the species responsible for envenoming, thus making treatment with the correct antivenom more difficult, especially in regions where only monospecific antivenoms are available (Theakston and Laing, 2014). For years, much effort has gone into developing novel diagnostics to support diagnosis of snakebite victims, especially in rural areas of the tropics. Gaining access to affordable and rapid diagnostics could potentially facilitate more favourable patient outcomes due to early and appropriate treatment (Knudsen et al., 2021). Thus, we aimed to induce the IgG production in the in vivo model against the Indian cobra venom which will be examined for its cross reactivity with cobra venom by performing ELISA to develop a novel diagnostic kit for the detection of snakebite envenoming.

Results: 2 rabbits were approved by IAEC for pilot studies. Dosing was carried out as per schedule submitted to the IAEC. Following administration of initial doses extensive skin echzyma / erythema was noted in both rabbits. Body temperature did not show any increase. Weights and body temperature of animals were taken regularly as shown in Figure 1.

Figure 1: Weight gain and body temperature of the rabbits post administration of 1st dose and during additional dosing.

The weight gain of rabbits after dose 1 and during subsequent dosing showed normal weight gain pattern. Similarly, the dosing pattern did not lead to any rise in body temperature of the animals indicating that there was no adverse reactions to the dosing pattern or to the dose administered cumulatively.

Next we analyzed the production of IgG using the AGID assay. As shown in Figure 2 commerially available ASV (purified and consisting of Fab2 fragments) gave immune precipitates at highest concentration (neat and 1:2 dilutions), whereas crude serum from both rabbits gave good immunoprecipitation reaction after administration of the 1st dose itself at 1:16 dilution, suggestion that anti venom IgG concentrations were higher.

Figure 2: AGID analysis of serum separated from blood collected after each dose administration.

Thus to summarize, calculation of doses were efficienct and accurate to provoke an antibody response in both pilot animals. Quantitation of titers and other analyses is ongoing.

7. To isolate various Subunits of various kinds Venom of (Indian big four) and understand antigenicity against ASVs

Team: Dr. Usha Padmanabhan, Dr. Amruta Naik, Intern
Funding Agency: Haffkine Institute
Duration: 3 years
Budget: As per Institute guidelines
Status: Ongoing

Cobra, Russell's viper, krait and saw-scaled viper are the Indian big 4 venoms. The most common sea snake along the Indian coast is the hook-nosed sea snake (Hydrophis schistosa). Then come two other species, the annulated sea snake (H. cyanocinctus) and Malacca sea snake (H. caerulescens). There is no antidote available specifically for sea snake venom. Snake venoms are complex mixtures of enzymes and proteins of various sizes, amines, lipids, nucleosides, and carbohydrates. Venoms also contain various metal ions that are presumed to act as cofactors and include sodium, calcium, potassium, magnesium, and zinc.

Polypeptide toxins (molecular weight 5-10 kDa) include cytotoxins, cardiotoxins, and postsynaptic neurotoxins (such as α-bungarotoxin and α-Cobratoxin), which bind to acetylcholine receptors at neuromuscular junctions. Viperid venom contains 80-90% enzymes (3-150 kDa) that damage vascular endothelium, while elapid venoms contain 25-70% such enzymes.

There are 4 manufacturers of antivenom in India. High-quality snake antivenoms are the most effective treatment to prevent or reverse most of the venomous effects of snake bites. Another issue is that the amount of antivenom used for treatment also needs to be standardized since in most cases, there is an overuse of antivenom leading to unwanted side effects in patients. This project aims to isolate subunits, peptides, and enzymes present in snake venom and identify the leading antigens in snake venom. If possible, the study also aims to standardize the dose of antivenom required for neutralization of each venom type.

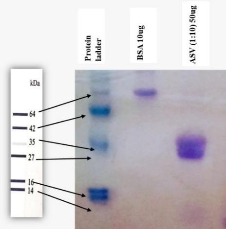
The project has been approved by the expert committee overseeing the NVRC project and Biosafety committee. Commercially available ASV was subjected to SDS-PAGE. Figure 1: Gel electrophoresis of ASV diluted 1:10 to look at purity. Fab2 fragments have a sepculated Mw of 75kDa. Mw of monomeric Fab is around 37kDa.

Molecular characterization of Indian scorpions

8. Molecular characterization of endogenous Indian scorpion(s) through whole genome sequencing

Team: Dr. Usha Padmanabhan, Ms. Amalamerin George Kanjupally (Ph.D. student)
Funding Agency: Internal
Duration: 3–5 years
Budget: Rs. 1 lakh per year
Status: Ongoing

Scorpions are venomous arachnid arthropods mainly inhabiting a wide range of hot and dry environments in the terrestrial ecosystem. Farmers, workers, and residents in rural areas are among the most vulnerable group. Scorpion envenomation treatments are generally symptomatic since specific anti-venoms are not available in India unlike the other developed countries like South Africa, Middle East, and America. The project aims to provide insights into variability in venoms through sequencing.

Introduction: The risk of scorpion envenomation to public health in tropical and subtropical areas of the world is life-threatening. Over 2.5 billion people are at risk for scorpion stings. Across the globe, there are approximately 1750 species, of which 25 are dangerous to humans. Presently, there are around 86 species found throughout India. The two commonly found species of scorpions in the Indian subcontinent are the red scorpion (Hottentotta tamulus) and the black scorpion (Deccanometru / Heterometrus). The composition of venom differs in accordance with geographical differences.

Fig 1: Indian red scorpion found in the residential area.

Objective: This study aims to understand the venom composition by utilizing the whole genome sequencing technique which will provide insights to identify venom-related genes in the development of effective anti-scorpion venoms to combat the life-threatening consequences of scorpion bites, ensuring the safety of public health. The results of the study will contribute to the genomic database for scorpions by providing high-quality genome sequences. This understanding can improve treatment outcomes for scorpion-stung patients by allowing researchers to target certain venom components or modify anti-scorpion venom formulations to account for geographical variances in scorpion species.

Results: The project has been approved by the IBSC and exempted by the IAEC. In this study, DNA extraction from scorpions (the red scorpion and the black scorpion) has been carried out. Targeted sequencing for species validation has been carried out using Sanger sequencing and already published at Genbank. Whole genome sequencing of the extracted DNA will be carried out using Oxford Nanopore Technology (ONT), and recombinant venom proteins cloned from the gDNA will be analyzed for cross-reactivity with ASV.

Fig 2: Indian black scorpion obtained from Venomous animal unit

9. Investigation of endogenous Indian snake(s), such as Saw-scaled viper through whole genome sequencing

Team: Dr. Usha Padmanabhan, Ms. Priyanka Mishra (Ph.D. student)
Funding Agency: Haffkine Institute
Duration: 3–5 years
Budget: Rs. 1 lakh per annum
Status: Ongoing

Snakes are squamates and are ingrained in the lizard phylogeny. Envenomation and snakebite mortality are frequently unreported in the field of global health. Based on the mortality and amputations data, WHO added snakebite envenoming to its priority list of neglected tropical illnesses in 2017 and in 2019 unveiled a strategy for the prevention and management of snakebite. The lack of sufficient quantities of significant morphological features, along with insufficient sampling and a shortage of experienced experts, have been key roadblocks to understanding snake diversity. The project aims to provide insights into variability in venoms through sequencing.

Fig 1: Cobra molt

Introduction: Approximately 3150 species of snakes are found around the world. There are more than 300 species of snakes in India, and 60 of them are considered dangerous. An estimated 81,000 to 138,000 snakebite deaths occur each year worldwide. Estimated death due to snakebite in India was 1.2 million with an average of 58,000 deaths per year from 2000–2019. The “Big Four” snakes of India—namely Indian cobra (Naja naja), common krait (Bungarus caeruleus), Russell’s viper (Daboia russelii), and saw-scaled viper (Echis carinatus)—are responsible for the majority of India's yearly more than 46,000 snakebite deaths.

Objective: By focusing on the whole genome of the “Big Four” snakes of India, the project aims to understand the venom-related genes in species to suggest the development of more effective Anti-Snake Venom (ASV). Morphological characterization data can be helpful for identifying the species based on morphological features for different applications such as biodiversity surveys, behavioural ecology, public awareness, and education. Findings will aid in understanding the polymorphisms and mutation hotspots in the snake genome which lead to characteristic changes in the same species of snakes from different locations. This data may help in the development of region-specific ASV to reduce snakebite mortality cases.

Fig 2: Saw Scaled viper molt

Results: The project has been approved by the IBSC and exempted by the IAEC. Using the snake moult samples provides a non-invasive substitute for the traditional way of DNA extraction from tissues, which can lead to infections and death of the snakes. Targeted sequencing for species validation has been carried out using Sanger sequencing and already published at Genbank. Whole genome sequencing of the extracted DNA will be carried out using Oxford Nanopore Technology (ONT), and recombinant venom proteins cloned from the gDNA will be analyzed for cross-reactivity with ASV.

© Copyright Haffkine Institute for Training, Research and Testing - Designed & Developed By Visual Ventures 
Legal Notices | Privacy Policy  
Logo Significance